Leleka Foundation has renewed its cooperation with the Ukrainian charity SVOYI, launching a new phase of medical aid for victims of Russia’s ongoing war against Ukraine. The initiative is made possible through a $100,000 grant from the Fooksman Family Foundation, aimed at providing timely surgical care for Ukrainian service members and civilians suffering from complex multi-fragment fractures.

The funds will be used to procure mechanical fixation systems and implants essential for bone reconstruction and stabilization, including osteosynthesis implant kits, spinal stabilization systems, joint endoprostheses, and other surgical materials. SVOYI will handle the direct purchase and distribution of these components to hospitals treating wounded patients across Ukraine.
Since the beginning of Russia’s full-scale invasion in 2022, Ukraine’s healthcare system has faced unprecedented challenges in treating both military and civilian casualties. The majority of wounded soldiers receive care in civilian hospitals, where the surge in mine-blast and gunshot injuries—primarily affecting limbs—has overwhelmed medical facilities. Such injuries account for 52% to 74% of all battlefield wounds, depending on the intensity of combat operations.
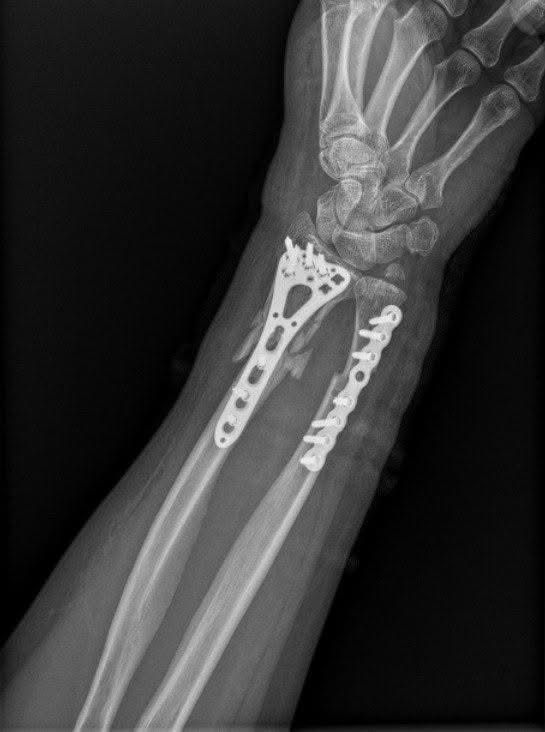
The primary treatment for severe bone damage is osteosynthesis—a procedure involving precise repositioning and fixation of bone fragments using mechanical implants. This approach is crucial to preserving limb functionality and enabling recovery for patients.
In addition to soldiers, a growing number of civilians have sustained similar traumatic injuries due to drone strikes, shelling, and landmine explosions. Many require urgent surgical interventions using the same specialized implants and devices to save lives and restore mobility.
![]() |
![]() |
“We are thrilled to renew our cooperation with SVOYI. Our missions align — to save lives and improve the quality of life for those wounded in the war. Through this renewed partnership, Leleka and SVOYI aim to strengthen Ukraine’s ability to deliver high-quality surgical care, ensuring that both defenders and civilians receive the medical support they urgently need,” Leleka’s President Vadim Geshel added.
УКР 
